Skip navigation
Home
About Us
Contacts
Team Studio Korošec
Warranty
Technologies
About Kobarid
Services
Dental check up
Dental implants
Teeth whitening
Dental crowns and bridges
News
Gallery
Photos
Videos
Testimonials
Testimonials
Thanks to all of you.
More
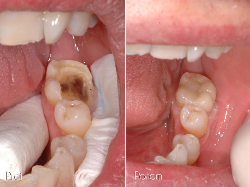
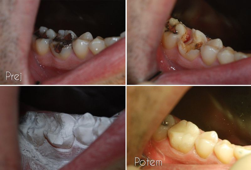
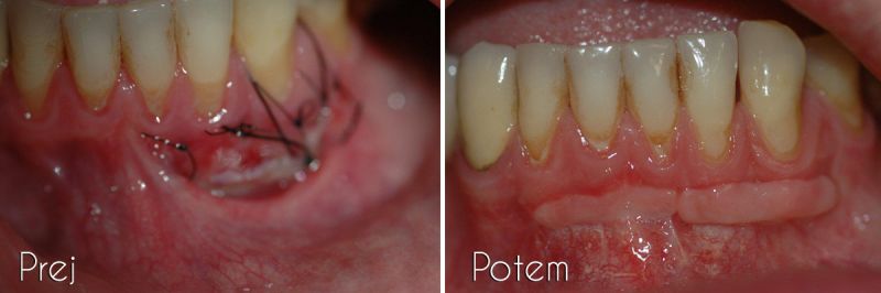
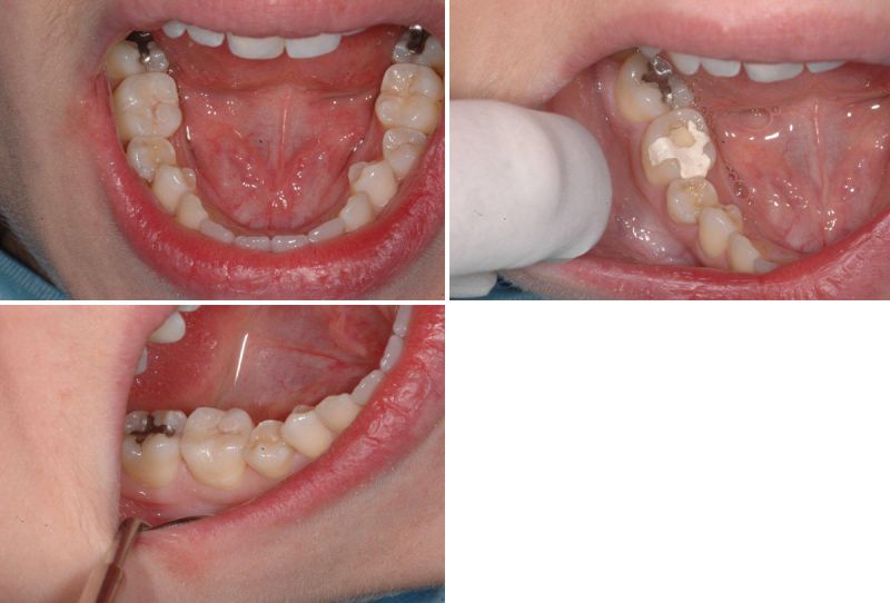
References - photogallery